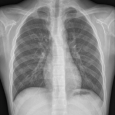
Upload a chest X-ray and get immediate insights. octoaipus empowers patients and doctors alike — for free, forever.

Get
Started
Scans Analyzed
Global Users
Diagnosis Accuracy
Master the art of capturing crystal-clear X-ray images with your phone.
Better quality = better diagnosis.
Place X-ray on flat surface with good lighting
Hold phone steady, 20-30cm above the film
Include entire chest area in the frame
Ensure even, bright lighting without glare
Take high-resolution, focused photo

Upload your image and receive an AI-powered prediction in seconds. No doctor visit, no delay — completely free, private, and secure.
octoaipus provides an AI-based diagnosis of chest X-rays in just a few seconds.
Completely free, private, and accessible to everyone.

Everything you need to accept card payments and grow your business anywhere on the planet.
octoaipus helped me understand my chest X-ray in seconds. I didn't have to wait for a doctor — and the results were spot on.
Patient from the UK
As a physician, I use octoaipus as a second opinion tool. It's fast, reliable, and surprisingly accurate — a great assistant in diagnosis.
Pulmonologist
octoaipus trained on over a million X-rays to ensure safety and precision. It's AI, but with a human-first mindset.
Lead AI Engineer
Stay informed about our latest improvements, new features, and upcoming developments in AI-powered medical imaging.
v2.1.0 • January 2025
Major improvements to our pneumonia detection algorithm with better accuracy and faster processing.
v2.0.0 • December 2024
Complete redesign of the user interface for better user experience and accessibility.
v1.9.5 • November 2024
Various bug fixes and performance optimizations to ensure smooth operation.
Adding support for multiple languages to serve global users better.
Detailed analytics and reporting features for healthcare providers.
Native mobile applications for iOS and Android platforms.
Public API for third-party integrations and partnerships.
We'd love to hear your ideas for improving our platform. Share your feedback with us!
Leading healthcare institutions and technology companies trust our AI-powered medical imaging solutions.



Join our network of healthcare innovators and help us revolutionize medical imaging worldwide.

Advanced AI-powered pneumonia detection from chest X-rays. Get instant, accurate results with medical-grade precision.
© 2025 octoaipus. All Rights Reserved.